Técnica Laminar: o avanço que redefine a regeneração óssea guiada em defeitos complexos Como o equil...
Lorem ipsum dolor sit amet, consectetur adipiscing elit.
Técnica Laminar: o avanço que redefine a regeneração óssea guiada em defeitos complexos Como o equil...
Preservação de Rebordo e Implantes Imediatos na Área Estética: Como os Designs Biológicos Definem Re...
Como piezocirurgia, osseodensificação e biologia óssea redefiniram resultados, tempo de tratamento e...
PRF Avançado na Odontologia: A Revolução Biológica Que Está Transformando Cirurgias e Regeneração Ós...
Da anatomia microscópica da mucosa sinusal às técnicas avançadas com piezocirurgia e PRF, a Profª La...
Do sangue ao resultado clínico: como a biologia celular, a engenharia de tecidos e os protocolos pad...
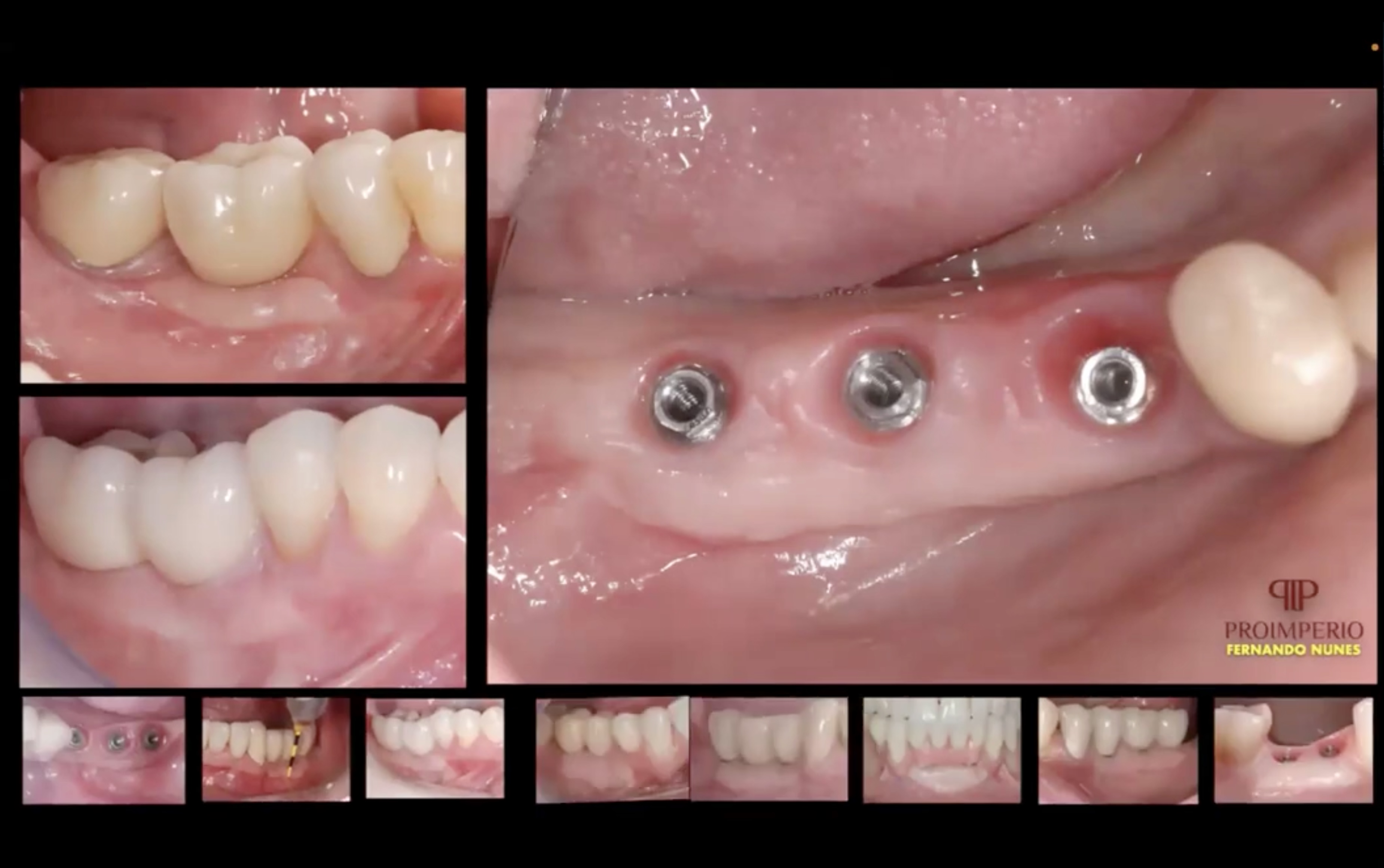
Uma jornada científica detalhada sobre como decisões cirúrgicas e protéticas, quando guiadas por cin...
Aumentar o Rebordo Horizontal com Previsibilidade: O Guia Científico que Todo Implantodontista Preci...
A Odontologia Digital Como Pilar da Implantodontia e Periodontia Moderna A Odontologia vive uma das ...
Sorriso Gengival: Da Percepção Estética à Transformação Clínica A abordagem científica, personalizad...
Lorem ipsum dolor sit amet, consectetur adipiscing elit, sed do eiusmod tempor incididunt ut labore et dolore magna aliqua.