Pular para o conteúdo

A decisão clínica que separa previsibilidade e caos

Técnica Laminar: o avanço que redefine a regeneração óssea guiada em defeitos complexos

Como o equilíbrio entre biologia e mecânica está mudando o prognóstico de pacientes edêntulos e casos de falha reconstrutiva

Reconstruir osso não é apenas criar volume. É devolver previsibilidade, estabilidade e confiança a pacientes que, muitas vezes, já passaram por múltiplas falhas. A Técnica Laminar surge exatamente nesse ponto crítico da implantodontia moderna.


O problema: por que reconstruir osso em pacientes edêntulos é tão desafiador?

Pacientes edêntulos de longa data representam um dos maiores desafios clínicos da regeneração óssea guiada (ROG). Segundo o Professor Luiz Macedo, esse paciente é frequentemente triplamente sequelado:

1. Sequela anatômica

  • Perda óssea tridimensional

  • Reabsorção vestibular, vertical e palatina/lingual

  • Alteração completa da arquitetura original do rebordo

2. Sequela biológica

  • Redução significativa da vascularização

  • Menor potencial regenerativo

  • Tecidos menos responsivos à cicatrização

3. Sequela psicológica

  • Histórico de falhas com implantes ou reconstruções

  • Medo elevado de novos procedimentos

  • Expectativas altas e baixa tolerância a complicações

O grande dilema clínico é: qual técnica realmente entrega previsibilidade tridimensional e estabilidade a longo prazo?


O estudo e o contexto científico

  • Autor: Prof. Dr. Luiz Macedo

  • Instituição: Atuação acadêmica e clínica no Brasil, com participação em simpósios internacionais

  • Contexto: Discussões avançadas em regeneração óssea, incluindo o Osteology Foundation Symposium (Barcelona, 2019)

  • Base científica: Princípios consolidados de regeneração óssea guiada, biologia óssea autógena e mecânica das câmaras regenerativas


Por que as técnicas clássicas falham nos defeitos complexos?

Técnica da Tenda (Tent Technique)

  • Funciona bem apenas para pequenos ganhos horizontais

  • Limitação severa em defeitos verticais

  • Dificuldade extrema de acesso palatino/lingual

  • Necessidade de remoção de parafusos em segundo tempo

Sausage Technique (Istvan Urban)

  • Excelente resultado vestibular

  • Impossibilidade prática de fixação em lingual/palatino

  • Estudos mostram que o maior ganho ósseo ocorre após 4,5 mm, enquanto a maior perda acontece exatamente nos primeiros 3–4 mm, região crítica para dissipação de carga e estabilidade gengival


O gold standard atual e seu maior problema

PTFE com reforço de titânio

  • Excelente resistência mecânica

  • Mantém espaço regenerativo

  • Indicado para defeitos críticos

Mas há um preço alto:

  • 30–35% de taxa de exposição de membrana

  • Quando há infecção, o resultado costuma ser catastrófico, com perda total do enxerto e tecido mole

  • Em telas de titânio, a taxa de complicação pode chegar a 40%

👉 Isso levou a uma reflexão inevitável: não basta formar osso, é preciso formar osso com previsibilidade.


A virada de chave: nasce a Técnica Laminar

A Técnica Laminar surge a partir de uma pergunta simples e poderosa:

“E se o suporte mecânico viesse de dentro, usando o próprio osso do paciente?”

O conceito central

  • Captação de uma lâmina fina de osso cortical autógeno

  • Essa lâmina atua como o “teto” da câmara regenerativa

  • O material particulado permanece protegido

  • Uso de membranas de colágeno, preservando a biologia


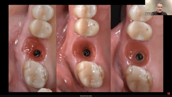
Metodologia detalhada da Técnica Laminar

Planejamento

  • Tomografia computadorizada de alta resolução

  • Avaliação tridimensional do defeito

  • Seleção criteriosa da área doadora (ramo mandibular, sínfise ou tuberosidade)

Captação da lâmina óssea

  • Preferencialmente com piezoelétrico

  • Espessura ideal: 1,5–2,0 mm

  • Possibilidade de modelagem e perfurações para revascularização

Preparo do leito receptor

  • Decorticação com múltiplas perfurações

  • Sangramento adequado

  • Remoção de tecido fibroso

Posicionamento e preenchimento

  • Fixação da lâmina com 2 a 4 parafusos

  • Preenchimento com biomaterial particulado (xenógeno, com ou sem autógeno)

  • Cobertura com membrana de colágeno reabsorvível


Resultados em números

Segundo a literatura consolidada apresentada no eBook:

  • ≈10–15% de taxa de complicação com membranas de colágeno

  • 30–35% com PTFE + titânio

  • ≈40% com telas de titânio

Além disso:

  • Complicações na Técnica Laminar tendem a ser menos graves

  • Raramente resultam em perda total do enxerto

  • Mantêm melhor o volume ósseo ao longo do tempo


Impactos estéticos, funcionais e psicossociais

  • Melhor posicionamento tridimensional dos implantes

  • Perfil de emergência mais natural

  • Melhor dissipação de cargas mastigatórias

  • Redução do risco de recessões gengivais

  • Maior confiança do paciente em tratamentos futuros

Para pacientes com histórico de falhas, isso representa resgate da previsibilidade.


Comparação prática entre técnicas

Aspecto Técnica Laminar PTFE + Titânio Sausage
Biologia Excelente Comprometida Boa
Mecânica Excelente Excelente Limitada
Acesso lingual Viável Difícil Impossível
Complicações ~10–15% 30–35% ~10%
Gravidade Menor Catastrófica Moderada
Reconstrução 3D Completa Limitada Limitada

 


Limitações e considerações

  • Técnica sensível, com curva de aprendizado

  • Necessidade de instrumentação adequada

  • Tempo cirúrgico maior

  • Duas cirurgias (regeneração + implantes)

  • Contraindicada em pacientes com condições sistêmicas graves não controladas

Transparência metodológica é essencial para indicação correta.


Conclusão do autor

O Professor Luiz Macedo é categórico:

“Em 2025, não faz mais sentido retirar blocos autógenos extensos do paciente quando podemos equilibrar biologia e mecânica com previsibilidade.”

A Técnica Laminar não é apenas uma nova técnica — é uma evolução conceitual da regeneração óssea guiada, especialmente para defeitos tridimensionais complexos.


O que muda para a prática clínica?

  • Mais previsibilidade

  • Menos complicações catastróficas

  • Melhor experiência para o paciente

  • Reconstruções verdadeiramente tridimensionais

  • Um novo padrão para casos complexos

O futuro da regeneração óssea está no equilíbrio. E a Técnica Laminar aponta exatamente esse caminho.


Referências

  1. Macedo, L. Trilha do Conhecimento Purgo – Reconstrução horizontal e vertical com a Barbell Technique. Masterclass, Novembro 2025.